お子さんの歯🦷のクリーニング
2024/04/10
お子さんの歯🦷のクリーニング
こんにちは😁つしま歯科です🦷🪥
🌸桜が咲きはじめて やっと暖かくなり
気持ちの良い季節になってきましたね😉
さて、今日はお子さんの歯🦷のクリーニングのお話しです☺️
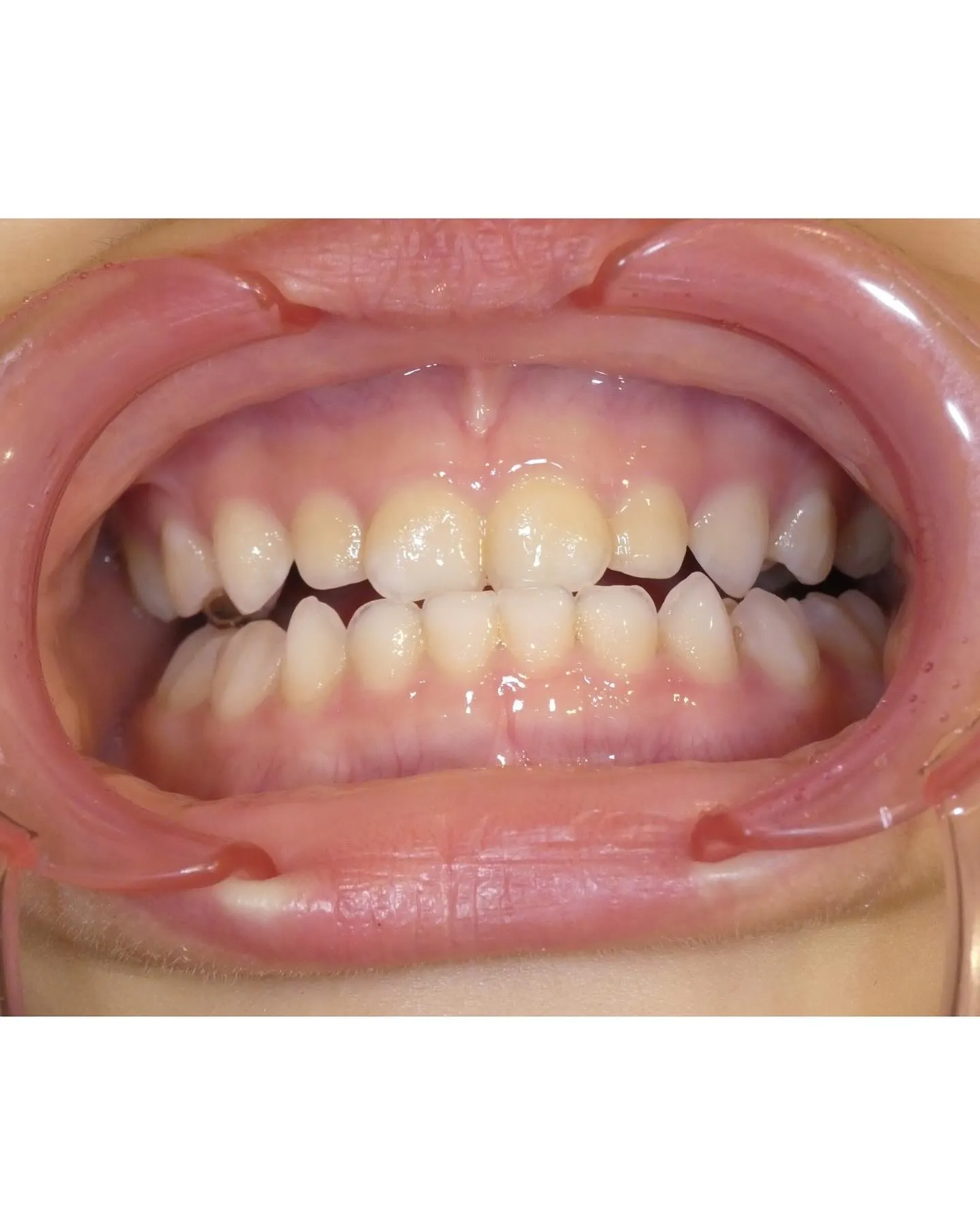
上の写真を見て下さい😊
こちらは院長の4歳の娘さんの歯の写真です🦷
毎日歯磨き🪥をして、もちろんフロスも行っています😙それでも着色や、歯と歯の間にうっすら歯石が付いています🦷
小さいお子さんでも意外と歯の汚れは付きやすく
溜まってしまうものです😅
プロが磨いても お家で全ての汚れを落とすのは難しいのです💦
歯石になってしまってからだと 歯ブラシ🪥で落とすのは難しく頑固な汚れになってしまいます。
2枚目はクリーニングの後の写真です😊
ツルツル白い歯🦷になっていますね✨
歯医者さんで クリーニングを受けてスッキリ可愛い綺麗な歯に🦷なりませんか?
もしも虫歯が出来て 治療が必要になった時の練習にもなりますよ😘
#つしま歯科#池田市歯医者さん#池田市大和町#虫歯予防#予防歯科#キッズスペース#ポセイドン#小児歯科#マイクロスコープ#歯磨き#ホワイトニング#歯周病予防#子供矯正#根管治療#いびき治療#歯科定期検診
お気軽にお越しくださいね♪






